Type 1 diabetes Type 1 diabetes, once known as juvenile diabetes or insulin-dependent diabetes, is a chronic condition in which the pancreas produces little or no insulin. Insulin is a hormone needed to allow sugar (glucose) to.
Recent Post
Gonorrhea Gonorrhea is an infection caused by a sexually transmitted bacterium that can infect both males and females. Gonorrhea most often affects...
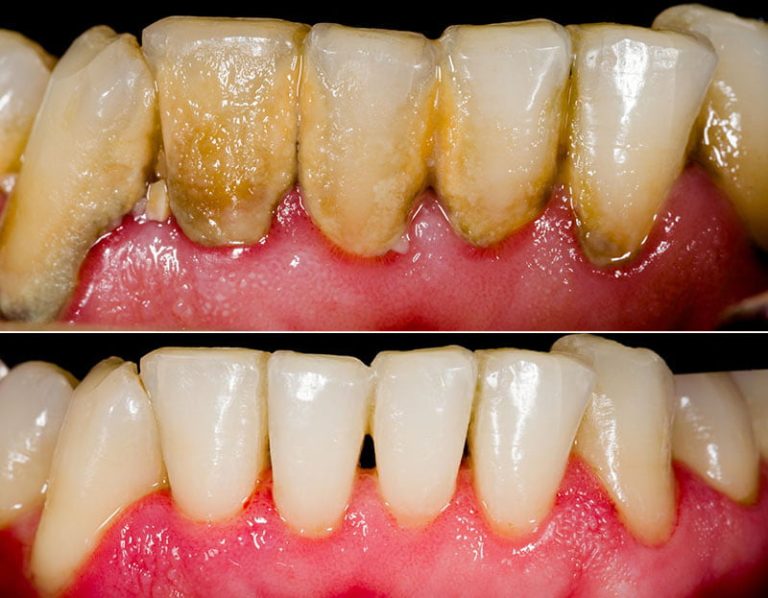
Gingivitis Gingivitis is a common and mild form of gum disease (periodontal disease) that causes irritation, redness and swelling (inflammation) of...
Genital warts Genital warts are one of the most common types of sexually transmitted infections. Nearly all sexually active people will become...
